Запись на приём
Мы перезвоним в самое ближайшее время (в рабочие часы стоматологии).Также вы можете сэкономить время, позвонив нам прямо сейчас:
+7 (495) 957-40-70 - Лобня
+7 (495) 957-40-70 доб. 2 - Химки
+7 (495) 957-40-70

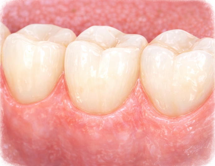
В нынешней стоматологии применяются высокоэстетичные и прочные материалы для протезирования – цельная керамика и диоксид циркония. Однако, даже подобные зубные коронки со временем требуют замены.
В наши стоматологические клиники обращается очень много пациентов, у которых установлены металлокерамические коронки, срок эксплуатации которых ощутимо ниже, чем у керамических и циркониевых. Следовательно, замена зубных коронок – одна из самых востребованных услуг ортопедического отделения.
В этой статье разберёмся, когда и почему может понадобиться замена коронки.
После установки зубных коронок многие пациенты полагают, что они будут служить очень долго. Но коронки, как и зубы, подвергаются негативному влиянию, поэтому они имеют определенный период эксплуатации.
Средний срок службы коронок варьируется от 5 до 15 лет в зависимости от материала (металлокерамика, керамика, цирконий и др.), качества установки, гигиены полости рта, индивидуальных особенностей прикуса, наличия вредных привычек (например, скрежетание зубами — бруксизм).
Срок службы коронок зависит от правильности ухода за ними, вида употребляемой пищи, состояния опорной части зуба и множества других факторов.
Тем не менее, даже самые качественные коронки со временем могут потребовать замены.

Различают классический вариант производства вручную, а также фрезерование специальными аппаратами. Если ресурс изделий, изготовленных обычным способом, не превышает 7 лет, то продукция второго типа может служить вплоть до 25 лет.
Основные причины для замены зубной коронки.
Как понять, что пора менять коронку?
Обратитесь к стоматологу, если:
Зубные коронки не вечны, но при правильном уходе они служат долго и эффективно. При появлении первых признаков износа или дискомфорта важно не откладывать визит к стоматологу — своевременная замена коронки поможет сохранить здоровье полости рта и вашу уверенность в себе.
Мы предлагаем все виды стоматологических услуг — от профилактики и лечения кариеса до имплантации и эстетической стоматологии. Для нас важно не только устранить проблему, но и сохранить здоровье зубов на долгие годы. В нашей клинике используются новейшие стоматологические установки для точного протезирования.